Olika typer av tandställningar
Det finns både avtagbara och fasta tandställningar som används för att flytta tänder. Valet av tandställning styrs av patientens bettavvikelse. Nedan hittar du information om några av våra vanligaste tandställningar och hur de ska användas och skötas om. Vid frågor om andra tandställningar, smärta eller när något går sönder på tandställningen rekommenderar vi att ni kontaktar oss på tandregleringen.
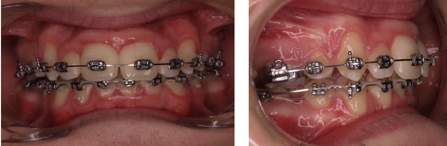
Fast apparatur

Fast apparatur är den vanligaste tandställningen och kan användas på de flesta bettavvikelser. Den består av fästen på varje tand och en metallbåge som vanligtvis sätts fast med gummisnoddar.
Som patient kommer du på regelbundna kontroller för att justera tandställningen. Efter justeringen kan det ömma i tänderna och det kan bli skav i slemhinnan. Om det ömmar kan du använda ett receptfritt smärtstillande läkemedel de första dagarna. Om du får skav kan du använda vaxet som du har fått av oss.
Det är viktigt att du borstar tänderna extra noggrant när du har fast apparatur.
Om någon del av tandställningen lossnar eller går sönder ska du höra av dig till oss så fort som möjligt så att vi kan hjälpa dig.
Twin-block

Twin-block är en avtagbar tandställning för att rätta till överbett. Den hjälper käkarna att passa ihop genom att flytta fram underkäken och flytta bak överkäken. Twin-block används bara till dig som fortfarande växer. Tandställningen används under hela dygnet men tas ut vid måltider, tandborstning och vid fysiskt aktivitet. Ju mer du använder tandställningen desto snabbare får du resultat.
Om du får skav eller om någon del av tandställningen går sönder ska du höra av dig till oss.
Ta alltid med tandställningen när du besöker tandvården.
Rengör tandställningen varje dag med tandborste och tandkräm och förvara den där eventuella husdjur inte kan komma åt den.
Retainer

Retainer är en fastlimmad tråd som sitter på baksidan av dina framtänder. Den används för att tänderna ska hållas på plats när vi har tagit bort din tandställning. Tråden bör sitta i minst 10 år och i vissa fall hela livet.
Det är viktigt att du borstar noggrant kring tråden.
Om tråden lossnar helt eller delvis vill vi att du hör av dig till oss på tandregleringen så snart som möjligt så att vi kan hjälpa dig. Du har 1 års garanti. Glöm inte att ta med dig tråden till ditt besök om den har lossnat helt.
Om tråden lossnar när det har gått mer än 1 år ska du kontakta din vanliga klinik på allmäntandvården. Glöm inte att ta med dig tråden till ditt besök så att du slipper betala för en ny om den har lossnat helt.
Om du är över 18 år får du betala för att sätta dit tråden igen efter garantiåret.
Essix-skena

Essix-skena är en plastskena som används för att tänderna ska hållas på plats när vi har tagit bort din tandställning. Essix-skenan är avtagbar och den ska användas varje natt i 3 år. Därefter kan du börja använda skenan varannan natt i 3 månader. Om det går bra och inte spänner i tänderna under nedtrappningsperioden, ändra till var tredje natt i ytterligare 3 månader. Om även det går bra och det inte spänner i tänderna kan du sluta använda skenan helt.
OBS! Så fort du känner att det spänner mycket i tänderna ska du gå tillbaka till tidigare användningssätt.
Rengör skenan varje dag med tandborste och tandkräm. Förvara skenan där eventuella husdjur inte kan komma åt den.
Om du tappar bort din skena vill vi att du hör av dig till oss så snart som möjligt så att vi kan göra en ny. Den nya skenan får du betala själv enligt Folktandvården Region Örebro läns prislista.
Ta alltid med skenan när du besöker tandvården.
Extra oralt drag (EOD)

Extra oralt drag (EOD) är en metallbåge som är fäst till tänder i överkäken. EOD används vid överbett eller om det saknas utrymme för tänderna. Den flyttar överkäkens kindtänder bakåt, eller håller dem kvar på plats.
Tandställningen är kopplad till en huvudhätta eller ett nackdrag. Du har den på kvällen och när du sover, 12-14 timmar per dygn. Ju mer du använder tandställningen desto snabbare får du resultat.
Om någon del av tandställningen lossnar eller går sönder ska du höra av dig till oss så fort som möjligt så att vi kan hjälpa dig.
Klammerplåt

Klammerplåt är en avtagbar tandställning som används för att flytta enstaka tänder i överkäken. Den är oftast av plast och sitter fast i tänderna med metallklamrar.
I början kan det ömma i tänderna, så de första dagarna kan du använda tandställningen korta stunder för att vänja dig. Sedan ska tandställningen användas dygnet runt, förutom när du äter eller borstar tänderna.
Tandställningen ska förvaras fuktigt när den inte används. Ha gärna med dig en burk till skolan där du kan lägga tandställningen under matrasten.
För att hålla den ren ska du borsta den med tandborste, tvål och vatten, morgon och kväll.
Om någon del av tandställningen lossnar eller går sönder ska du höra av dig till oss så fort som möjligt så att vi kan hjälpa dig.
Quad-Helix

Quad-Helix är en fastsittande tandställning i gommen. Den används oftast när du har korsbett. Den hjälper till att tippa tänder för att skapa plats eller ställa tänderna rätt i tandbågen. Behandlingstiden brukar vara cirka 8 månader.
När du har fått din tandställning kan tänderna och tungan bli lite ömma de första dagarna.
Tandställningen gör det lite svårare att komma åt att göra rent. Tänk på att borsta extra noggrant men din vanliga tandborste.
Undvik segt godis och tuggummi. Det kan fastna eller göra så att tandställningen går sönder. Om din tandställning går sönder eller lossnar, hör av dig till oss på tandregleringen så snart som möjligt så att vi kan hjälpa dig.
Suturvidgare – tandstödd

Tandstödd suturvidgare är en fastsittande tandställning som används när gommen är för smal.
Den har en metallskruv i mitten som du skruvar på själv. Du får instruktioner av din tandläkare. De första dagarna kan tänderna, tungan och näsan bli ömma. Det blir oftast ett mellanrum mellan framtänderna som senare kommer att gå ihop.
Behandlingen är färdig efter cirka 2-4 veckor, men tandställningen måste sitta kvar i munnen i nästan 1 år.
Tandställningen gör det lite svårare att komma åt att göra rent. Tänk på att borsta extra noggrant men din vanliga tandborste.
Undvik segt godis och tuggummi. Det kan fastna eller göra så att tandställningen går sönder. Om din tandställning går sönder eller lossnar, hör av dig till oss på tandregleringen så snart som möjligt så att vi kan hjälpa dig.
Suturvidgare – benstödd

Benstödd suturvidgare är en fastsittande tandställning som används när gommen är för smal.
Den har en metallskruv i mitten som du skruvar på själv. Du får instruktioner av din tandläkare. De första dagarna kan tänderna, tungan och näsan bli ömma. Det blir oftast ett mellanrum mellan framtänderna som senare kommer att gå ihop.
Behandlingen är färdig efter cirka 2 veckor, men tandställningen måste sitta kvar i munnen i nästan 1 år.
Tandställningen gör det lite svårare att komma åt att göra rent. Tänk på att borsta extra noggrant men din vanliga tandborste.
Undvik segt godis och tuggummi. Det kan fastna eller göra så att tandställningen går sönder. Om din tandställning går sönder eller lossnar, hör av dig till oss på tandregleringen så snart som möjligt så att vi kan hjälpa dig.
Cross-elastics

Cross-elastics är en tandställning som används för att flytta enstaka tänder. Tänderna flyttas med hjälp av en gummisnodd. På tänderna limmar vi fästen där gummisnodden hakas fast. Gummisnodden ska användas hela dygnet men tas ut när du äter eller borstar tänderna.
Ta med gummisnoddarna överallt och byt så fort den går sönder, det är mycket viktigt att inga uppehåll görs för att behandlingen ska lyckas.
De första dagarna kan tänderna bli lite ömma.
Om något av dina fästen lossnar ska du höra av dig till oss så fort som möjligt så att vi kan hjälpa dig.